بهترین دندانپزشک نیشابور

گروه:

دندانپزشک

تخصص:

متخصص ارتوسورجر


نیشابور
  • آدرس: مطب اول:نیشابور, خیابان امام, جنب پاساژ ناصرانی،ساختمان شفا،طبقه پایین مطب دوم:نیشابور،خ امام ، خ عطار،بعد از عطار 10، ساختمان آریا ،طبقه اول
  • تلفن: مطب اول: 055143335055 - 055143343811
  • موبایل: مطب دوم:055143219318 - 055143219319
  • ساعت کاری:
  • وب سایت:
  • دکتر محسن باستان فر

     

     

    جراح_دندانپزشک_دندانساز

     

     

    متخصص ارتوسورجر

     

     

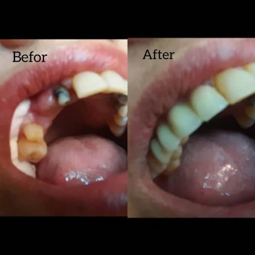
    متخصص ارتودنسی وجراحی ایمپلنت

     

     

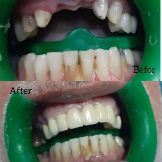
    ترمیم های زیبایی،روکش های سرامیکی

     

     

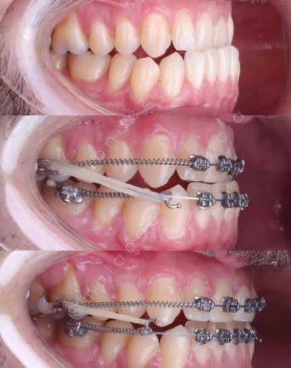
    ارتودنسی ثابت،ایمپلنت‌های دندانی

     

     

    دکتر محسن باستان فر 

     

     

    جراح دندانپزشک

     

     

    متخصص ایمپلنت های دندانی و ارتودنسی ،( ناهنجاری های فکی و دندانی) عضو انجمن جراحان فک و ایمپلنت ،و انجمن دندانپزشکان ایران

     

     

    دارای سابقه بیش از ۲۸ سال در درمان بیماران دندانپزشکی